230斤“重量级”小伙遭遇骨折,萍乡市第二人民医院骨科专家多术式联合解决骨科创伤“皇冠难题”
近日,市二医院骨一科团队凭借精湛的手术技艺和严谨的诊疗方案,成功为一名体重118公斤的复杂骨折患者实施高难度联合手术,破解多重手术难题,这位23岁的青年患者最终恢复肢体功能,市二医院骨科又一次用实力彰显了在复杂骨科创伤救治领域的过硬水平。
突发事故——
年轻患者遭遇复杂骨折
手术难度陡增
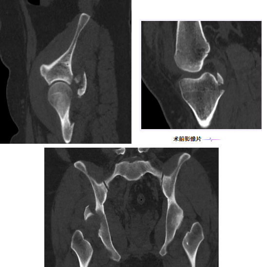
2026年1月18日,23岁的小张(化名)在骑电动车时不慎被小汽车撞倒,当即出现右髋、右膝剧烈疼痛,肢体活动完全受限,被紧急送往附近就诊。完善CT检查后,明确诊断为右髋臼骨折并股骨头脱位、右膝交叉韧带撕脱骨折,病情复杂且凶险。
髋臼骨折被誉为创伤骨科“皇冠上的明珠”,而股骨头脱位若处理不当,极易引发股骨头坏死等严重并发症,加之患者同时合并膝关节交叉韧带撕脱骨折,治疗难度大幅提升。更棘手的是,患者体重高达118公斤,给手术视野显露、骨折复位固定带来极大挑战,术中出血、组织损伤的风险也显著增加。在当地医院紧急就诊,给予手法复位脱位后,因手术难度过高、风险过大,建议患者转至上级医院进一步治疗。
精准施策——
专家团队会诊
定制个体化手术方案
焦急万分的患者及家属经熟人介绍,联系到市二医院骨一科业务主任饶放萍主任医师。饶主任详细了解患者病情、查看影像学资料后,结合患者体重特殊、伤情复杂的特点,果断建议患者转入市二医院接受手术治疗。患者及家属随即于当日入住市二医院骨一科,开启了救治之路。
为确保手术安全顺利,骨一科学科团队开展病例讨论,全面评估患者病情。手术专家团队充分考虑到患者体重大导致的手术视野暴露困难、出血风险高、复位难度大等问题,明确术中需遵循轻柔操作原则,精准控制创伤,减少出血。经过反复研讨,最终确定了最优手术方案——“右髋臼骨折切开复位内固定、植骨+右膝交叉韧带重建+胫骨髁间骨折切开复位内固定术”,一次性解决多处损伤,避免患者承受多次手术的痛苦。
精医铸骨——
高难度手术圆满成功
患者顺利康复
方案确定后,完善各项术前准备,全面排查手术禁忌,从术前评估、麻醉配合到术后康复,每一个环节都精心部署、严格把控。1月21日,在麻醉科等相关科室的全力配合下,骨一科手术团队凭借丰富的临床经验和精湛的操作技巧,如期开展手术。
术中,团队精准显露手术视野,小心翼翼避开血管神经,精准复位骨折断端,熟练完成髋臼骨折内固定、植骨操作,同时精准重建交叉韧带,对胫骨髁间骨折进行复位固定,全程做到轻柔操作、精准止血,有效规避了各类手术风险。历经数小时的奋战,手术圆满完成,骨折复位满意,内固定牢固可靠。
术后,骨一科护理团队结合小张体重特点,制定个体化康复护理计划,指导小张进行科学的功能锻炼,密切监测切口愈合情况和肢体功能恢复情况。目前,小张恢复良好,切口愈合佳,右下肢功能锻炼进展顺利,已逐步恢复正常活动能力,即将康复出院。

此次高难度手术的成功开展,不仅考验了市二医院骨一科团队的技术水平和协作能力,更彰显了科室在复杂骨科创伤救治领域的雄厚实力。未来,市二医院骨一科将继续深耕骨科技术,精益求精,以更精湛的医术、更优质的服务,为广大骨骼创伤患者保驾护航,守护群众骨骼健康。
专家介绍
刘辉 脊柱外科专家,主任医师
中华医学会江西省骨科分会第八届委员、江西省骨科分会脊柱脊髓学组委员、江西省研究型医院学会骨科脊柱微创分会委员、江西省整合医学骨科创伤专委会委员、江西省预防医学会骨与关节病预防与控制专委会委员。
擅长:脊柱内镜、通道下腰椎融合、经皮椎体成形等各类脊柱微创手术。率先开展颈椎前路椎体次全切融合固定术、颈1.2椎弓根钉内固定术、脊柱椎管内肿瘤切除椎板原位再植术等高精尖手术。
饶放萍 脊柱外科专家,主任医师,骨科业务主任
江西省医学会骨科分会关节学组委员、江西省研究型医院学会骨科脊柱分会委员、萍乡市医学会骨科分会常委等。
擅长:各种脊柱疾病的诊断及手术治疗,在本地区率先自主开展各种颈胸椎手术,已完成各类脊柱手术一千余例。在关节疾病及创伤骨科的诊疗方面造诣深厚。出诊时间:每周二全天
出诊地点:门诊二楼 219室
高勇 脊柱外科专家,副主任医师,骨一科主任
中国医药教育协会肿瘤疑难诊断与治疗学专业委员会全国委员、江西省医师协会骨科医师分会青年委员、江西省康复医学会脊柱脊髓损伤专业委员会委员等。
擅长:于四肢关节及骨盆创伤的急救、诊断及治疗,对骨科复杂创伤和骨病的手术治疗具有丰富经验,对老年骨质疏松性骨折、骨肿瘤的诊治有较深造诣。对脊柱外伤骨折脱位、椎间盘突出及椎管狭窄、滑脱等疾病临床诊疗的功底深厚。出诊时间:每周一、三上午
出诊地点:门诊二楼 219室
熊志鹏 主治医师,骨一科副主任
硕士研究生,江西省骨质疏松性骨折防治联盟委员。曾在南昌一附院进修学习骨科先进技术。擅长:颈腰椎间盘突出、脊柱骨折脱位等各种脊柱疾病和损伤的诊断及手术治疗,善于脊柱内镜、经皮椎体成形等各类脊柱微创手术。
(编辑:李锡念)
来源:萍乡市第二人民医院



